近日,自贡市三医院骨一科成功开展儿童肱骨髁上骨折前路手术,新技术取得良好疗效,为儿童患者带来了福音。


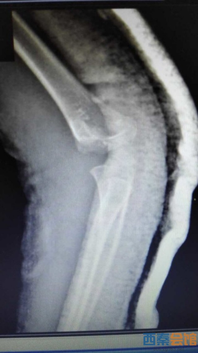
肱骨髁上骨折为儿童常见病,往往需要手术治疗,常规手术为做肘关节内外侧切口,交叉克氏针固定,手术创伤大,伤口瘢痕长,不美观等问题。市三医院骨一科梁涛主任根据患者需求,新引进儿童肱骨髁上骨折前路手术,仅3cm小切口切开复位后,于肱骨内外髁闭合穿针内固定,伤口皮内缝合,不需要拆线,术后伤口愈合快,术后4周可去除石膏托锻炼,术后6周可拔出克氏针,具有创伤小、美观、患者护理方便等优点。目前该5岁患者恢复良好,已出院休养。


该技术的引进及开展为我市儿童肱骨髁上骨折的治疗提供了一个新途径,让广大儿童患者受惠,值得推广应用。
医院地址:四川省自贡市贡井区筱溪街胜利巷156号
急救电话:0813-3301234
人事科:0813-3302254 健康管理中心:0813-3301250
咨询电话:0813-3319575
投诉电话:0813—3303897、0813-3313732(白天 )
0813—3301040(中夜班及节假日)
邮箱:office@zgsyy.cn 邮编:643020
医院周边公共交通情况:万年灯:16路、贡井人寿保险门口:15路、11路、17路
公开院外周边停车场位置及配套服务设施:医院西区停车场、虎头桥国投停车场、恒太城停车场
扫一扫关注官方微信
Copyright © 2006-2026 自贡市第三人民医院版权所有 备案号:蜀ICP备13027823号-1 技术支持:四川百信智创科技有限公司